Root Canal Therapy

About Root Canal Therapy

Root canal treatment (also called endodontics) is needed when the pulp inside your tooth becomes infected through tooth decay or damaged by an injury to your mouth. This infection may spread through the root canal system and could eventually lead to an abscess, causing a great deal of discomfort. If root canal treatment is not carried out, the tooth may need to be taken out.

Root canal therapy
involves the following:

First, local anesthetic will be administered to ensure no discomfort is felt during treatment.

The tooth will be prepared with a drill, allowing access to the root canal system.

The root canal system will be thoroughly cleaned out to remove all infection and pulp.

The root canal system is then filled and sealed temporarily with a crown.

The tooth is checked at a later visit and when all the infection has cleared, the tooth is permanently filled.

Life Benefits of Root
Canal Therapy

  • Preservation of remaining healthy tooth structure.
  • Prevention of infection spreading any further.
  • Restoration of tooth to its natural look and feel.

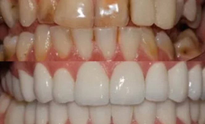
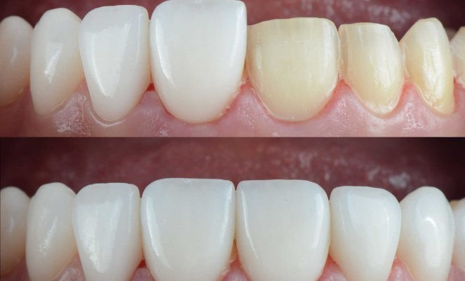
Root Canal Therapy
Before & After

  • ...
  • ...

FAQ

Explore our FAQ where we address common inquiries you may have about our services, insurance, emergencies, and more.

The RCT treatment may take a maximum of 1-2 visits to be completed, depending on the number of canals to be treated and the complexity of the dental condition.

Placeholder content for this accordion, which is intended to demonstrate the .accordion-flush class. This is the second item's accordion body. Let's imagine this being filled with some actual content.

Placeholder content for this accordion, which is intended to demonstrate the .accordion-flush class. This is the second item's accordion body. Let's imagine this being filled with some actual content.

The RCT treatment may take a maximum of 1-2 visits to be completed, depending on the number of canals to be treated and the complexity of the dental condition.

The RCT treatment may take a maximum of 1-2 visits to be completed, depending on the number of canals to be treated and the complexity of the dental condition.